产品扫码查看详情
    手机扫描查看
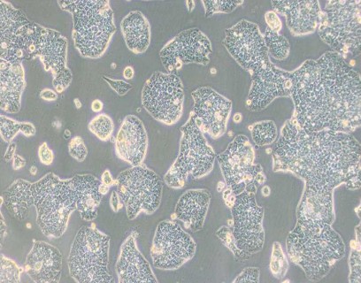
  • NCI-H1944人肺癌细胞
  • NCI-H1944人肺癌细胞

产品订购
产品货号细胞库货期 优惠价 数量
JLC-E1653 1×10⁶cells 3-7天 询价
  • 产品信息

NCI-H1944人肺癌细胞
基本信息:
产品品牌 :晶抗生物
中文名称 : 人肺癌细胞
细胞简称 : N CI-H 1944
细胞形态 : 上皮细胞样
生长特性 : 贴壁细胞
培养环境 : 空气,95% ;CO2,5% 37℃
冻存条件 : 55% 基础培养基+40% FBS+5% D M SO液氮
完全培养基 : RPM I-1640(P M 150110)+10% FB S(164210-50)+1% P/S(PB 180120)


传代步骤:

1、吸出原培养液。
2、加入2ml左右PBS,轻轻晃动培养瓶润洗细胞,吸出PBS丢弃。
3、加入1ml左右0.25% 胰蛋白酶溶液(含ED TA ),轻轻晃动培养瓶使之浸润所有细胞。
4、放入培养箱消化,显微镜下看到细胞块中间的细胞明显变圆有间隙时可终止,全程不要拍打培养瓶。
5、加入3ml含血清的培养基终止消化,吹打细胞使之脱壁并在液体里反复吹打使细胞尽量呈单颗细胞的悬浮液。
6、收集细胞悬液离心,1200rpm /min 3分钟,离心完吸出上清丢弃。
7、加入新鲜培养基,吹打几下混匀细胞即可,按比例接种到新培养瓶,补足培养基,拧松瓶盖或使用透气瓶盖进行培养。
消化时间 :  2~ 3分钟
传代比例(密度) :  1:2-1:6
换液频次 :  2~ 3次/周


细胞背景描述:

Theline w asestablish edin June1988.62 yearsC aucasianfem aleThepatien treceived prior radiation therapy.Thepatientw asasm oker.
供体年龄 :  女;62岁
组织来源 :  肺腺癌,非小细胞肺癌
细胞类型 :  肿瘤细胞
肿瘤类型 :  肺癌细胞
生物安全等级 :  1
细胞保藏中心 :  ATCC  ;  C R L-5907


收到常温细胞后如何处理:

细胞培养详细操作步骤请参照晶抗生物细胞培养操作指南
1.收到常温细胞后,及时拍照记录有无漏液/瓶身破损现象。
2.用75%酒精擦拭细胞培养瓶表面,显微镜下观察细胞状态。先不要打开培养瓶盖,将细胞置于细胞培养箱内静置培养2-4小时,以便稳定细胞状态。
3.仔细阅读细胞说明书,了解细胞相关信息,如贴壁特性(贴壁/悬浮)、细胞形态、所用基础培养基、血清比例、所需细胞因子、传代比例、换液频率等。
4.静置完成后,取出细胞培养瓶,镜检、拍照,记录细胞状态(所拍照片 将作为后续服务依据);建议细胞传代培养后,定期拍照、记录细胞生长状态。
5.若观察到异常或者对细胞有疑问,请及时跟我们联系;对于细胞培养操作及培养。可跟我们的技术支持交流。

返回顶部 微信咨询 021-54720761 点我QQ咨询 点我QQ咨询